Teeth Alignment Treatment in Chennai
Clear, Comfortable & Confident Smiles with Invisalign
Align technology pioneered the invisible orthodontics market with the introduction of Invisalign system. The Invisalign system has continued to evolve over the last 27 years and has treated over 18 million cases.
What is Invisalign?
Invisalign are clear aligners that helps correct smiles and are currently at the forefront of dental technology, as they are the most popular alternative for conventional dental braces.
Align technology pioneered the invisible orthodontics market with the introduction of Invisalign system. The Invisalign system has continued to evolve over the last 27 years and has treated over 18 million cases.
Align technology uses U.S. patented SmartTrack material in the production of Invisalign, exclusively. SmartTrack material was designed specifically to make the tooth morphology precise as compared to the other aligner materials.

Benefits of Invisalign
Unlike conventional braces, Invisalign has esthetic appeal, easy to remove during eating, drinking, brushing, flossing promoting better oral hygiene. The entire treatment is painless and hassle free.
About Vineesha's Dental Clinic
Our dental practice is refreshingly UNIQUE and we shine to create a positive stereotype for dentistry. We are committed to provide dental services in the most friendly, diligent and transparent manner within the framework of ethics, safety and quality. If you are looking for high end care, then you have come to the right place.
Principal Dentist
Dr.B.N.Vineesha is the principal dentist of Dr.Vineesha's Dental Clinic and Orthodontic Center. She pursued her undergraduation and her Postgraduation in the field of Orthodontics and dental orthopaedics from Ragas dental college and Hospital , Chennai. She specialises in Invisible braces and is a trained Invisalign (USA) Specialist in Chennai.
Our Vision
"To provide outstanding dental care with a commitment of honesty,compassion, quality and integrity. To change lives everyday by creating healthy and beautiful smiles. To raise the quality of clinical care through thought leadership, continual dental research and education."
Meet Our Expert Doctors
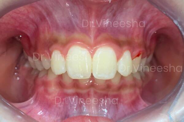
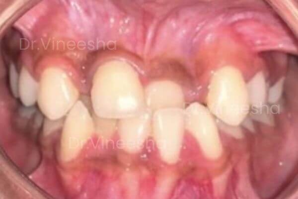
Step-by-Step Smile to Teeth Alignment Transformation
Why Choose Invisalign Over Traditional Braces
Invisible
No Wires. No Brackets. Just Clear Confidence.
See Predictable Results Before Treatment
AI Simulation to see your future smile before starting of treatment
Faster than traditional braces
Faster results, Fewer Clinic visits
Comfortable & Removable
Lifestyle friendly option for all ages
Who Can Get Invisalign?
Invisalign Cost in Vineesha's Dental Clinic – Affordable & Transparent Pricing
Invisalign treatment costs could range from Rs.150,000-Rs.350,000.* Prices are indicative and for patient education only. Invisalign is a customized treatment plan, so individual costs will vary. Final discretion with respect to the treatment costs and duration, depends on the complexity of your case, the doctor/clinic and other factors. Please check with your Invisalign provider for more details. Consultation fees may apply. The exact cost of your Invisalign treatment will be determined by:
The complexity of your case
How long you are in treatment
The Invisalign provider you choose for treatment
To obtain an exact cost for your Invisalign treatment, request an appointment with an experienced Invisalign Provider.
This is just an approximate cost. The final discretion with respect to the total treatment cost vests with the Invisalign trained doctor only
Before & After Dental Transformations








Book an appointment with Our Dental Experts
Happy Invisalign Clients









Recent Blogs
It's been a great experience in getting various types of treatment for my teeth at the Dr. Vineesha Dental Clinic. The doctor and the assisting junior doctors have all been so cordial in their treatment and they have been clear in explaining the post treatment protocols to be followed. I would highly recommend this clinic for tooth related issues and especially the Invisalign procedure.
I’m currently doing my Invisalign treatment here and I’m already so happy with how things are going! I was really worried at first, but the doctor has done a wonderful job so far and made me feel very comfortable throughout the process. They explain everything clearly and always make sure I’m okay with each step. I can already see a big difference, and I’m so excited to see the final results. Dr. Vineesha is honestly the best! Thank you for the amazing care and great service!
I’m currently undergoing Invisalign treatment at Dr. Vineesha’s dental clinic, and here are my observations so far: Timely Appointments – Appointments are respected and always on time. A reminder is sent on the day of the visit (though it would be helpful if this could be sent the previous day). Professional & Comfortable Experience – Dr. Vineesha explains the treatment in detail, making the process easy to follow. Monthly follow-ups are ensured, which adds to the confidence in the treatment. Clinic Ambience – The clinic is clean, neat, and has a pleasant atmosphere. Value for Money – The Invisalign treatment is offered at a competitive rate, making it a worthwhile investment. Overall, my experience has been very positive and pleasant so far.
We have been to Dr Vineesha's Invisalign clinic for our daughters teeth alignment. I went to Doctor Vineesha clinic for treating my daughter misaligned tooth. She was very patient explaining all the process for braces and all her cavity tooth was filled properly. There was also a tooth extraction for the 3 milk tooth which was painless. Would definitely recommend doctor and her clinic for any tooth related problems, all the staff very kind and responsive. Kids usually get scared but my daughter was very comfortable with doctor and gone through all the procedures without any hassle.The final result achieved, is highly satisfactory. Her clinic is highly sophisticated with latest equipment's, hygienic, with well trained supportive staff. We wish her to attain many greats in her career.
We have been to Dr Vineesha's Invisalign clinic for our daughters teeth alignment. Dr. Vineesha with her novel idea, without tooth extraction, aligned my daughters teeth successfully in a perfect manner. With her novel idea, she could able to create space between the teeth where ever required. Then she used Invisalign to bring the teeth in one alignment. Her treatment was painless and the Invisalign used was so perfect that no one could see it when wore. It was really invisible. The final result achieved, is highly satisfactory. Her clinic is highly sophisticated with latest equipment's, hygienic, with well trained supportive staff. We wish her to attain many greats in her career.
Been using Invisalign for the past 1 year now. One of the best decision I have ever made is to choose Invisalign studio. Dr. Vineesha and her team of dentists are highly professional who understands your needs & treat you accordingly. They follow-up even when I forget. Highly recommend Invisalign studio.
Dr.Vineesha Invisalign clinic is highly recommended for any kind of dental health issues. Vineesha is very professional in her work and provides clear explanation before the treatment. I got my Invisalign treatment here and I’m very happy about the results that I see. Appreciation to all the doctors treated there, Dr.Malika and other staffs.
After a difficult experience with traditional braces, which required me to undergo the treatment twice due to relapse, I was eager to explore alternative options. I got to know about Invisalign and decided to start my journey with Dr. Vineesha at Vineesha’s Dental Clinic - Invisalign Studio. The Invisalign treatment has been smooth and pain-free, which has been a significant relief compared to my previous experiences. Additionally, one of the most appealing aspects is the lack of food restrictions, allowing me to enjoy my meals without the limitations that braces imposed. Overall, my experience with Invisalign has been transformative, and I am truly happy with the results and the comfort of the process.
Dr Vineesha is one of the most professional dentist I met in Chennai. With the opening of her new clinic, I'm sure to go there for all my dental problems. Clinic interior looks great and impressed with the genuine and precise dental treatment plans, recommended by her. I even saw her clinic's inauguration articles in various newspapers and was pleasantly surprised that pioneers in Entertainment community like KS Ravikumar and Suhansani M vouched for her by being the chief guest in her clinic's opening ceremony. Good luck doc! I know you will do well!
Amazing clinic, i would say in chennai. Best service and well advanced equipments, the place interior looks incredibly and provides the best service.Dr.Vineesha is a true god in orthodontist. She is very good in what she does. I saw the clinic's inauguration in the news paper and was very pleased to see great people like K.S.Ravikumar has opened it. *Dr.Vineesha's Dental clinic - Bringing life to your smile*.
